Home> EEデンタル NEWS > 2026年 あけましておめでとうございます。
2026年 あけましておめでとうございます。
- Posted by: eedental
- 2026年1月 5日 09:00
- EEデンタル NEWS
2025年12月31日 日の入り
年末から色々雑用 をしておりました。
また医院のパソコン、バックアップ用ハードディスクが逝ってしまった為
その修復をしておりました。
昔のデーターを見ながら
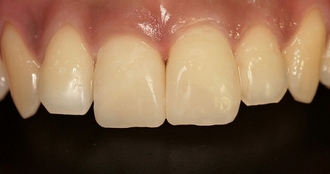
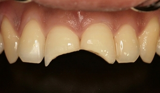
2012年 レジン
術後①
術後②
色々やっていたなぁ、と思い
心機一転今年も治療の質にはこだわって行きたいなと感じさせられました。
2026年もよろしくお願いします。
1月6日より通常診療を行いますので、何かありましたら医院の方までご連絡ください。
Home> EEデンタル NEWS > 2026年 あけましておめでとうございます。
- About
-
EE DENTALの
オフィシャルブログです!
- カレンダー
-
2026 1 » S M T W T F S 1 2 3 4 5 6 7 8 9 10 11 12 13 14 15 16 17 18 19 20 21 22 23 24 25 26 27 28 29 30 31 - Archives
-
- カテゴリ
- 最近のブログ記事
- Recent Photos
- Tag Cloud
-
- オールセラミック ジルコニア 仮歯
- サーフボード
- ブログ
- レジン
- 歯内療法専門医 根管治療 マイクロスコープ
- 歯内療法専門医 根管治療 マイクロスコープ レジン
- 歯内療法専門医 根管治療 マイクロスコープ レジン治療
- 歯内療法専門医 根管治療 マイクロスコープ 虫歯
- 歯内療法専門医 根管治療 感染根管 マイクロスコープ
- 歯内療法専門医 根管治療 感染根管 マイクロスコープ レジン
- 歯内療法専門医 根管治療 感染根管 顕微鏡歯科 マイクロスコープ
- 歯内療法専門医 根管治療 顕微鏡歯科 マイクロスコープ レジン
- 歯内療法専門医 根管治療 顕微鏡歯科 マイクロスコープ レジン治療
- 歯内療法専門医 根管治療 顕微鏡歯科 レジン
- 歯内療法専門医 根管治療 顕微鏡治療 マイクロスコープ レジン
- 歯内療法専門医 根管治療専門医 マイクロスコープ レジン
- 3M ジルコニアクラウン セラミック
- AAE
- AAE アメリカ歯内療法学会
- AAE 根管治療 内部吸収
- 検索
- Links
- 購読
- Powerd By
コメント:0