Home> 歯内療法日記 > クラウンが取れた歯の根管治療

クラウンが取れた歯の根管治療

基本的に私は歯を長持ちさせる為のポイントは「必要最小限の医療介入」だと思っています。

 を過去に取った歯のクラウンのやり替えの際には、根尖病変さえ無ければわざわざ根管治療はしません。

先生によってはの他の先生の治療は信用できない、ガッタパーチャーが綺麗にはいっていないという理由でやり替える先生もいますが、私はこの辺はあまり気にしません。

 

ただ、経過を見させてもらっているとこういう判断をすることはあります。

 

患者さんは30代女性

昔から診させて頂いているかんじゃさんなのですが、被せ物が外れたということで来院

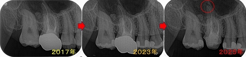
過去からのレントゲンを見ると 

2025 EEdental FRI (1).jpg

口蓋根の根尖に前は無かった根尖病変が現れています。

 

患者さんに、レントゲンを見せてクラウンだけ入れてもまたすぐに外す必要が出てきそうだから

この歯に関しては一度根管治療からやり直した方がいいと説明

 

今回の歯、以前のブログで出したMB2ニッケルチタン形成法のケースでした。

 

術後

2025 EEdental FRI (2).jpg

 4根ガッタパーチャー使用 レジンコア+仮歯まで

  

  

定期検診で来院してもらいました。

2025 EEdental FRI (3).jpg

綺麗に口蓋根の根尖病変は治ってくれています。

 

ついでに返信投影でレントゲンを撮らせてもらいました。

2025 EEdental FRI (4).jpg

綺麗に治ってくれたので、次にセラミッククラウンの治療に入って行きます。

 

このように根管治療に介入するしないは、私の場合病変のある・なしで判断することが殆どで

前の先生の治療が信用でいないとか、ガッタパーチャーが入っていないからという理由で根管治療をやり替えることは殆どありません。

根管治療は2回しか治療出来ない治療なので、歯を長く保存させるにはいつ根管治療介入に踏み切るか!?も重要なポイントだと思います!(^。^) 

Index of all entries

Home> 歯内療法日記 > クラウンが取れた歯の根管治療

購読
Powerd By

Return to page top