発表終了とお知らせ
- Posted by: eedental
- 2025年9月24日 09:00
- 井野セミナー 案内
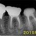
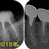
中部歯内療法学会の発表が終わりました。
感謝状と・・・
発表の修正なんですが、
発表5日前に知ったMCKファイルの廃盤
藤崎さんが教えてくれた「Micro Shaper」
DP-MS-K0803 K シェーパー ● #08/.03
でいいと思います。
薄井社長から試供品送ってくれるということなので、試しに使ってみたいと思います。
テーパーが1異なることでどのような差が出るかも試してみたいと思います。
穿通に悩んでいた先生も多かったようで、臨床のヒントになれば幸いです。
後、スライドに映したGR(車)の質問もありがとうございました。
歯科医師の先生は車好きが多いなと改めて感じました(笑)
- About
-
EE DENTALの
オフィシャルブログです!
- カレンダー
-
2025 9 » S M T W T F S 1 2 3 4 5 6 7 8 9 10 11 12 13 14 15 16 17 18 19 20 21 22 23 24 25 26 27 28 29 30 - Archives
-
- カテゴリ
- 最近のブログ記事
- Recent Photos
- Tag Cloud
-
- オールセラミック ジルコニア 仮歯
- サーフボード
- ブログ
- レジン
- 歯内療法専門医 根管治療 マイクロスコープ
- 歯内療法専門医 根管治療 マイクロスコープ レジン
- 歯内療法専門医 根管治療 マイクロスコープ レジン治療
- 歯内療法専門医 根管治療 マイクロスコープ 虫歯
- 歯内療法専門医 根管治療 感染根管 マイクロスコープ
- 歯内療法専門医 根管治療 感染根管 マイクロスコープ レジン
- 歯内療法専門医 根管治療 感染根管 顕微鏡歯科 マイクロスコープ
- 歯内療法専門医 根管治療 顕微鏡歯科 マイクロスコープ レジン
- 歯内療法専門医 根管治療 顕微鏡歯科 マイクロスコープ レジン治療
- 歯内療法専門医 根管治療 顕微鏡歯科 レジン
- 歯内療法専門医 根管治療 顕微鏡治療 マイクロスコープ レジン
- 歯内療法専門医 根管治療専門医 マイクロスコープ レジン
- 3M ジルコニアクラウン セラミック
- AAE
- AAE アメリカ歯内療法学会
- AAE 根管治療 内部吸収
- 検索
- Links
- 購読
- Powerd By