Home> Archives > 2026年4月アーカイブ

2026年4月アーカイブ

GWのお休み

すみません、今日はスタッフがお休みの為電話対応が出来ない可能性があります。

申し訳ありませんが、留守電にメッセージを残しておいてください。

  

来週からのGWですが、

4月30日(木曜日)

5月3・4・5・6(日曜日~水曜日)

をお休みさせて頂きます。

  

また5月20日は学校検診の為午前中をお休みさせて頂きます。

 

よろしくお願いします。

歯牙移植とヘミセクションから10年

先日昔治療させてもらった患者さんが詰め物が取れたということで来院されました。

 

この部位は

2026 EEdental FUD (1).jpg 

以前、延長ブリッジが入っていた歯

ふと、最近延長ブリッジ見なくなったなと思います。

(昔からあまりやらない方が良い治療だとは思っていましたが) 

 

特に問題無かった歯なので、このままにしておいたのですが、

5年後

2026 EEdental FUD (2).jpg 

遠心根に透過像が出てきており、歯茎からは膿が出てきていました。 

日本の根管治療の約6割には問題があるというはあながち間違いではないと思います。 

とりあえず根管治療をして治すことにしましたが、

近心根にはパフォーレーション 手付かずの遠心根には破折線が見られ、

患者さんにどうします!?遠心根はまず残せない、近心根は残すことが出来るがパフォーレーションの位置的に長く持たない可能性がある。

不思議なんですが、遠心根は根管治療していないにも関わらず折れてきている。

イメージ的に根管治療を行い中を削って歯を弱体化させている近心根が折れるならまだ分かるのですが・・・

 

患者さんと話し合い、近心根はヘミセクションをして残す 遠心根は抜歯

右下7の所には親知らずの移植と計画をしました。 

2026 EEdental FUD (3).jpg

この後遠心根抜歯

2026 EEdental FUD (4).jpg

 

口腔外科で移植をしてもらい、移植歯の根管治療を行い

2026 EEdental FUD (5).jpg

ある程度咬めるように治させてもらいました。

  

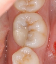
今年になり患者さんが詰め物が外れたとのことで来院

2026 EEdental FUD (6).jpg

10年経過して、そこまで悪い感じはありません。

 

患者さんにも「先生にそんなに持たないかもしれないよと言われていましたが10年持っています。意外と持つものですね!」と言われましたが、

ホント最初の延長ブリッジの方がかなり良い条件でしたが、折れてしまった。

パフォレーション+分割抜歯、移植した歯という条件の悪いケースで10年経過している。。。

 

たぶん、私がそんなに持たないかも!?と言った事でかばって咬むようにしているのが

今の状況を作っていると思いますが、ホント術者がどんなに頑張っても咬む力(歯ぎしり含め)で歯は必ず悪くなってきてしまいます。

 

こういうケースを見ると、患者さんの協力なしで歯を長く持たせることは難しいと感じます。

 

今回のケースは詰め物のやり替えだけ行えば、またしばらく使うことは可能でしょうd(^。^)

  • Comments (Close): 0
  • TrackBack (Close): 0

来月からレントゲン撮影時の防護衣着用廃止のお知らせ

今までEEデンタルではレントゲン撮影時に防護衣を着て頂いておりましたが、

現在の流れ的に歯科診療時のレントゲン撮影には防護衣は必要ないということになっており

EEデンタルでもレントゲン撮影時の防護衣を止めます。

 

ただ、心理的に怖いという方は防護衣を着用して頂きますので、通院中の患者さんはお会計時に

防護衣の希望をお聞きいたしますので、必要な方はお申しつけください。 

 

 

 

  • Comments (Close): 0
  • TrackBack (Close): 0

詰め物外してみたら歯冠破折だった。。。

歯が折れる場合はざっくり言って、

歯茎に埋まっている「根っこ」が折れる「歯根破折」と口の中で見える白い歯の部分が折れる「歯冠破折」があります。

「歯根破折」は抜歯になる場合が多いですが、やっている先生にかかれば接着修復という手もあります。

「歯冠破折」は頭の部分で割れだいたい骨の部分で止まるパターンが多いです。

歯冠破折.jpg

が、ここで折れても明確な治し方は存在しません。

またこの折れ方の場合神経の一部まで達していることが多く、治療のスタートが遅れると神経を取る治療からとなります。 

 

今回のケース 以前お母さんの治療をさせてもらった20代のお子さん

近医の先生に左下6に虫歯があると言われた。

レントゲン

2026 EEdental NNS (1).jpg

口腔内写真

2026 EEdental NNS (2).jpg

低目にレジンが詰めてあります。

 

患者さんには咬頭が無くなっており、中で虫歯もひろがっていそうだから

メタルアンレーで治しましょうと説明

 

治療を開始すると、「え!?」というぐらい詰め物が深い

歯茎の中のレジンも途中までしか詰めれておらず隙間から歯の中に歯茎が入り込んで来ている・・・

 

途中からこれ初発は虫歯ではなく歯冠破折で、長い期間で隙間から2次カリエスが出来たケースだと分かってきました。

歯の中の歯茎は電メスを使い除去

虫歯を削り終わると

2026 EEdental NNS (3).jpg

露髄した部分には第3象牙質が見られます。

エナメル質をなるべく残す為にEENOスフィアなどを使いくり抜くように虫歯を削っています。

 

ただ、こうなるとメタル修復するよりレジンで治した方が良いと判断し

患者さんとお母さんに理由を説明してレジン充填を行いました。

術前⇒術後

2026 EEdental NNS (5).jpg

レントゲン

2026 EEdental NNS (4).jpg 

最後に咬合をチェックすると臼歯部に側方運動時のガイドがあり、

たぶん、昔もこのガイドが極端に強くて割れたんだろうなと推測。

2026 EEdental NNS (6).jpg 

*最初の図と同じ割れ方になってました。

 

遠心にも似たようなガイドがあったので、最後に側方運動の咬合調整を行い終了となりました。

 

若い患者さんでも、夜間の歯ぎしりが大きい人はこのように歯冠破折を起こすことがあります。

先にも書いたように治し方が確立していないので、かかった歯科医院毎で治療法はことなりますが、

個人的には神経は残せれば大きく削らず処置したい所ではあります。

  • Comments (Close): 0
  • TrackBack (Close): 0

お休みを頂きます

4月18日土曜日

顕微鏡歯科学会参加の為お休みを頂きます。

 

留守電やメールなどは21日に返信させて頂きます。

 

よろしくお願いします。

  • Comments (Close): 0
  • TrackBack (Close): 0

根尖孔外感染で外科的歯内療法が必要と思われた1ケース

患者さんは50代女性    

レントゲン

2026 EEdental SMA (1).jpg

根尖病変が見られ、根尖には吸収とセメント質の添加のような所見があり、

長い間根尖病変があったように思えます。

 

このように根尖の形が変わっていると、根尖孔外感染を疑うことをします。

本来根尖病変は歯の中の細菌感染で起こっていることが殆どですが、稀に歯の外にも細菌がコロニーを作り歯の外も外科的に掃除しないと治らないことがあります。

 

ただ、個人的にはそのような所見があってもまずは根管治療からスタートすることが殆どで

根管治療で治らない場合に外科処置に踏み切ります。

この辺りは歯内療法専門医でもマチマチで、外科介入で早期に決着を付ける先生もいます。 

 

このぐらいの長さのメタルコアに関しては、難なく外せるのでコア除去のリスクは高くはありません。

 

長目に時間をもらい2本を1回法で治療

2026 EEdental SMA (2).jpg 

根尖は吸収があり根尖が大きく開いていたのでMTAセメントを使用

ここから仮歯で経過観察

術後1年 

2026 EEdental SMA (3).jpg

レントゲンでは骨は出来てきてくれています。

この状態であれば外科的歯内療法せずにもう少し待ってみましょうと提案

 

術後2年

2026 EEdental SMA (4).jpg

腫れなどもなく、骨も出来てきているので仮歯から本歯に入れ替えることに

 

術後

2026 EEdental SMA (5).jpg 

ここまで骨が出来ればもう大丈夫でしょう!

根尖の形は病変のなかった右側に比べると左右差はありますが、

2026 EEdental SMA (6).jpg

問題はありません。

  

個人的に根管治療の質にはある程度自信がありますが、正直手ごたえがあっても

治らないケースもありますし、今回のように外科的歯内療法とセットになるかも!?と術前時に思うケースでも外科処置なしに治ってしまうこともあります。

ホント目に見えない細菌を相手にしているので、術者の手ごたえというのは術者の満足感でしかないところが根管治療の悲しい所です。

先日の審美治療のように術後すぐに患者さんに感謝される

久しぶりの正中離開 - EE DENTAL_Blog 

分野でないので、根管治療は歯科治療の中でも難易度が高い分野なのですが患者さんからは評価されにくい治療なんです。。。 

 

中には歯の保存を喜んでくれる患者さんもおられるのでそれはそれでモチベーションの維持にもなります(^。^)

なるべくなら外科処置なしに治したいとは思います!

  • Comments (Close): 0
  • TrackBack (Close): 0

破折歯の残し方

50代以降に増えてくる歯根破折

歯根破折は歯ぎしりが見られる方の奥歯によく見られます。

 

患者さんで見える前歯のクラックを心配している人がありますが、

前歯のエナメル質のクラックは50歳越えれば殆どの方にみられますし、

前歯は抜歯になるような垂直性破折は滅多に起こりません。

  

また破折は神経ある歯に比べて神経を取った歯に多く見られます。

つまり人生後半の起こってしまう破折を起こさないようにするには神経を取らないがポイントになります。

 

ただ50歳以上の方は過去の歯科治療で神経を取ってある歯が多くあります。

*昔は簡単に神経を取る治療が行われていたので仕方がない面があります。 

  

患者さんは50代女性

歯茎の下に虫歯があるということで治療を行いクラウンを入れた。

普通にしていれば痛くはないが歯茎が腫れてきた。また咬んだ際に痛みがある。

先生には次に腫れたら抜歯と言われている。 

レントゲン 

2026 EEdental NAM (1).jpg

近心根が折れているような所見があり、根尖にはファイル(金属ヤスリ)破折が2本見られます。

   

患者さんには、折れており保存治療は難しいこと

保存を行おうとすれば、「接着修復」←私はやっていない(正確に言うと才能なく辞めた)

私が出来るのはヘミセクション(分割抜歯)ぐらい・・・

  

患者さんにOKをもらい 

2026 EEdental NAM (2).jpg 

まずは根管治療を行い

折れた歯の分割抜歯

 

一般的にはブリッジにするケースですが、個人的には1本で支え使える所まで使ってもらいます。 

2026 EEdental NAM (3).jpg

仮歯で経過を見て、問題無さそうなので

  

硬質レジンでクラウンを作ります。

2026 EEdental NAM (4).jpg

 レジンでクラウン作る理由は柔らかいから、ここにジルコニアなどの固い物をでクラウンを作ると

根の方に負担がかかり、すぐにダメになった経験があるので、わざとクラウンは弱目の材料を使い

クラウンをすり減らし、根の方への負担を軽減させます。

  

ホント歯根破折は人生の後半の方になってくると避けては通れない問題になってきますね・・・

  • Comments (Close): 0
  • TrackBack (Close): 0

年配の方に多い歯茎付近の虫歯

虫歯は年齢により出来やすい場所がことなります。

小中学生などの永久歯の生えたて頃は咬む面や側面などの溝に多く虫歯ができます。 

この虫歯は小さな穴から中に大きく広がることもありますので、拡大視野下の診断は有効です。

  

次に、20歳を超えると咬む面の虫歯は減ってきて、変わって歯と歯の間に虫歯がよく見られるようになります。

この歯と歯の間の虫歯は2種類あり、フロスなど通さずに歯と歯の間に汚れが長期間停滞し虫歯になるパターンと、中高年以上の方にたまにある咬む力で歯と歯の間に亀裂が入ってその亀裂から細菌感染し虫歯になったパターン

このクラックカリエスは拡大視野で治療をしている先生は知っていますが、現状あまり知られていません。

歯が生えたての若い頃はこのような亀裂はまだ入っていないので、クラックカリエスは少ないです。 

  

次に、60歳を超えてくると、

多くの方は60歳過ぎると歯茎が下がってきて黄色の部分の歯根が見えてきます。 

歯茎が下がった場所は、いままで歯肉で守られていた組織が細菌だらけの世界に出てくるので、この部分は虫歯になりやすくなります。

また女性の場合、年々唾液が減る傾向もあり唾液の量が減ってくると虫歯にもなりやすくなります。

 

 

今回のケース 70代男性 歯科医師の先生のお父さん

歯茎が下がり物が詰まりやすくなった為か、歯茎付近に大きな虫歯が出来てしまいました。

2026 EDG (1).jpg

レントゲンでは神経付近まで虫歯が進行しており、

術前時に患者さんにもしかしたら神経を取る治療が必要になるかもしれないが、

今回は神経を残す方向で治療を行い、術後痛みが出てしまったら神経を取ると説明 

  

このケースは患者さんに真横を向いてもらい、顕微鏡のモーラー機能をフル活用し

直視で虫歯治療を行いました。 

2026 EDG (2).jpg

 治療時間1時間(レジン+覆髄) 治療費99,000円(消費税込み)

 

患者さんも術後動画見ながら、顕微鏡を使えないとホント出来ない治療ですね!と驚かれていました。

一般的な方法だと、神経抜いてクラウンにすると思うんですが歯科医院さえ選べばこんな事出来ます。 

 

因みにこの虫歯の切削には回転切削器具は届かないので、音波チップ

【EENOスフィア】 - 超音波スケーラー用チップの錦部製作所オンライン販売WEBショップ、購入や注文はこちらから

使っています。

いつも使う切削道具は1本200~500円のダイヤモンドバーですが、ケースによっては20000円の道具で虫歯を切削します。

  • Comments (Close): 0
  • TrackBack (Close): 0

お休みのお知らせ

来週の4月18日ですが、

顕微鏡歯科学会参加の為お休みを頂きます。

 

後、アメリカの迷惑おじさんがしかけた戦争の為か、歯科用物資も欠品が増えてきております。

一応在庫があるもので回していきます。

 

ご迷惑をおかけします。

  • Comments (Close): 0
  • TrackBack (Close): 0

久しぶりの正中離開

俗にいうスキッ歯

2026 EEdental KUS (1).jpg

真ん中に少し大き目の隙間、中切歯と側切歯の間に小さな隙間が空いています。

 

患者さんは30代女性、前歯を治したいとのことでした。

このケース「治す方法」、「治す本数」どのように介入するか!?

まず綺麗にする方法には、

1、レジン(隙間にプラスチックで詰める)

2、ラミネート(セラミックを付け爪のように張る)

3、クラウン(大きく削って被せ物で歯の形を大きく代える)

の3つがあることを説明

患者さんは色々調べてきてもらえたようで、なるべく削らない方法で1のレジンを選択しました。

*個人的にも大きく歯にダメージを与えないレジンを勧めます。

 

さて、この隙間を何か所埋めるか!?

 

私的には、人の印象は前歯の隙間だけで良い印象になるので

「まずは真ん中だけ詰めましょう」と提案

全ての隙間を詰めると横の幅が広くなり歯の綺麗な形からズレます。

 

後、患者さんが知っておいた方がいいのは、先生によって

レジン、ラミネート、セラミッククラウンありますが、先生により得意な方法は異なりますので

ネットでレジンが良いと思ったらレジンの得意な先生を探す必要があります。

 

施術から1時間後

2026 EEdental KUS (4).jpg 

ブラックトライアングル部は数日で歯肉が盛り上がり綺麗に調和してきます。

歯肉は歯の形に合わせて変化してくれます。

   

レントゲン

2026 EEdental KUS (6).jpg 

綺麗なラインでグラデーションが作られています。

*白く見えるのがレジン 隙間だけで処理します。

 

【唇面】

2026 EEdental KUS (5).jpg

術直後、患者さんが歯を見て非常に喜ばれていました。

 

根管治療などの見えない場所よりダイレクトに患者さんの感嘆が見れる審美治療はやりがいがありますね。

根管治療などはホント手ごたえがあっても、レントゲンで術者しか精度は分かりませんからね・・・

 

 

どうでしょう!?写真を見て、両隣にある隙間気になりますかね!?

両隣の小さな隙間は正面から見るとさほど目立たないので、真ん中1か所埋めるだけで対人からの心象は良くなると思います。

今の私の歯科医療は必要最初減の介入で利を得るというコンセプトなので必要最小限の医療介入を心がけています。

(色々やってきての経験則ですが・・・) 

  

3年ぶりぐらいに正中離開を治療させてもらいましたが、意外とスムーズに治療が行えましたね( ゜∀゜)ノ 

  • Comments (Close): 0
  • TrackBack (Close): 0

プロテーパーゴールド

セミナーで使用して現在も私も使用している「プロテーパーゴールド」の動画

 

とうとう終売になるそうです。

先日行った中部歯内療法学会でデンツプライの山田さんが

「先生に使ってもらっているプロテーパーゴールドとうとう終売です」と聞かされました。

次のプロテーパーアルティメットに移行していくようです。

 

色々な講演会で聞くのはこのアルティメットは各ファイルの役割にあった金属(熱処理)をしおり理想的なファイルのようです。

 

が、

 

昔、一度メーカーの人に貰って使っていたのですが、

ProTaper Ultimate(プロテーパー アルティメット)を使ってみた - EE DENTAL_Blog

個人的にはこれ良い!昔の物を捨てて総替え!

とはならず、EEデンタルに沢山在庫のあるプロテーパーゴールドでいいや!という感じでした。 

後、アルティメットはコストが少し高い!

 

メーカーの人が言うには国内在庫で終わりとのことでしたので私のセミナー以降、

ゴールド使っているユーザー先生おられましたら、デンツプライに問い合わせてみてください。

 

因みに、最後と言うことで私はS1、S2、F1は爆買いしておきました(笑)

まぁ、ニッケルチタンなんて今どこのメーカー使ってもそんなに変わり映えしないのでジェネリックファイルでもいいと思います。

(ジェネリックファイルは1/3~1/4ぐらいのコストで買えるので使い捨てでもいいと思います)

個人的にはジェネリックファイルは中国のよく分からない所が作っているのでファイルが折れて精神的に来るのが嫌なので、高くても信頼のブランド使っています(笑)

 

材料は日進月歩でよい改良が加えられるので、お気に入りでも次第に無くなっていきますね。

  • Comments (Close): 0
  • TrackBack (Close): 0

根管治療だけでは治らないセメント質剥離

患者さんは20代女性 同級生の歯科医院の衛生士さん

小学校の頃に転んで前歯を折ってしまい根管治療をした歯

1週間前に腫れ、その後歯茎から膿が出てきている(フィステルあり)

  

レントゲン 

2026 EEdental MAA (1).jpg

根尖から側面にかけて透過像があり、患者さんには折れている可能性、側枝の可能性もあり外科的歯内療法が必要になるかもしれないが、まずは残す方向で根管治療を行いましょうと説明

(根尖寄りのガッタパーチャーが細く、きちんと根尖閉鎖が出来ていない可能性もあり)

また左上2の側切歯も気になる透過像があるものの、電気歯髄診断では多少反応がある為矯正治療中の歯根膜の肥厚と判断し、側切歯は様子をみることにしました。 

  

治療は1回法で

2026 EEdental MAA (2).jpg

根尖の汚れを掃除してMTAプラスで根管充填

やはり根尖はきちんとシール出来ておりませんでした。

 

ここから一旦フィステルは無くなったのですが、

再びフィステルが出来てしまい外科的歯内療法を行うことになりました。

レントゲン   

2026 EEdental MAA (3).jpg

透過像に変化はありません。

個人的な判断の1つとしては、多少の痛みは様子をみてもらう明確な腫れやフィステルは感染源が取れていないという証明なので外科処置に移行と判断しています。   

正直、根管治療にはかなり手ごたえあったんですけどね。。。 

外科的歯内療法

2026 EEdental MAA (4).jpg

根の側面に破折線は無く、側枝も無い。

セメント質のようなものが病変内に見られ、たぶん今回の病変はセメント質剥離が原因のように思われます。 

 

術後6ヵ月

2026 EEdental MAA (5).jpg

フィステルも治まり、痛み、違和感もないそう。

病変もだいぶ小さくなってきており、経過観察を行えば問題無いと思います。

 

極たまにあるセメント質剥離、自分の組織ながら何故感染源になるか不思議な病気です(?。?)  

  • Comments (Close): 0
  • TrackBack (Close): 0

レントゲンで丸く黒く見えるもの

いつもブログでレントゲンの図で赤丸書いている丸く黒く見える部分ですが、

2026 EEdental TAK (1).jpg

患者さんに骨無くなってどんな状態!?と聞かれたのですが、

先日抜歯した歯にこの部分がくっ付いてきてくれたので

2026 EEdental SUM.jpg

骨が無くなり、こんな肉団子のような状況になっています。

専門的に言えば、「不良肉芽」というものです。

 

患者さんに分かりやすく伝える為に、レントゲンで膿と表現しますが、

炎症の急性期にはこの部分に膿が貯まっていることもありますが、慢性期にはこのような肉団子状態になっています。  

  • Comments (Close): 0
  • TrackBack (Close): 0

Index of all entries

Home> Archives > 2026年4月アーカイブ

購読
Powerd By

Return to page top