Home> 歯内療法日記 > | EEデンタル こだわり > 珍しい第2大臼歯の分割抜歯

珍しい第2大臼歯の分割抜歯

残すところEEデンタルの診療も26日金曜までとなりました。

お休みは12月27日~1月5日までとなり、1月6日から通常診療となります。

  

今回は殆どやらない、出来ない第2大臼歯のトライセクション

第一・二大臼歯は3本の根に分かれており、1本の根が折れてもその折れた歯だけ抜く方法もあります。

ただ、第一大臼歯は3本が分かれているので分割しやすいのですが、第二大臼歯は三根が癒合(くっ付いて)しており分割が出来ない歯が多いです。

 

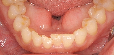
今回の患者さんは50代女性

全顎検査をさせて頂いた際に第2大臼歯の近心頬側根に病変が見られました。

2025 EEdental YAH (1).jpg

根管治療をスタートさせると、病変のある近心頬側根にクラックがあり

ちょっとこれは保存不可能・・・

 患者さんはオープンバイトの為、奥歯2本しか咬んでいなようなかみ合わせなので

それが原因になっているような感じがします。

 

ただ2本しか咬んでいないのでこの歯を抜くと凄く咬みにくくなる予感

抜いたら抜いたで次はインプラントしか方法はありません。。。

  

幸いCTで見るとこの第二大臼歯は根が開いており癒合していないので、

患者さんにトライセクション(分割抜歯)を提案

 

1回法で根管治療+分割抜歯

2025 EEdental YAH (2).jpg

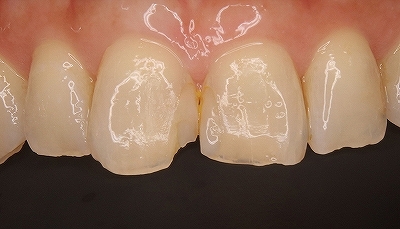
この後仮歯を入れ経過観察 

  

たまに仮歯はとれてきましたが、1年2ヵ月経過し

2025 EEdental YAH (3).jpg

 問題無く使用出来ており、骨もしっかりできているので本歯を入れることに

 

ゴールドクラウンを入れさせてもらいました。

2025 EEdental YAH (7).jpg

今の私は分割面をいかに滑沢に仕上げるか(抜歯のカット面含め)、またこの分割ラインにはマージンは付けていません。

 

側面(写真の設定を間違え見にくくてすみません^^;) 

2025 EEdental YAH (5).jpg

抜歯した部分は基本歯肉にくっ付けます。

*このダミー部分の下は磨かなくても殆ど問題になりません。 

2025 EEdental YAH (4).jpg 

クラウン内面 分割した部分はメタル(金合金)です。

 

レントゲン

2025 EEdental YAH (6).jpg

ゴールドクラウンSet

強く当てないように狙って咬合紙1枚抜ける感じで作りました。 

 

基本的に抜歯はあまりしないのですが、こういうケースを年に5~6件ぐらい行うので

繊細に行う抜歯の練習はしないとな・・・と思います(笑)

Index of all entries

Home> 歯内療法日記 > | EEデンタル こだわり > 珍しい第2大臼歯の分割抜歯

購読
Powerd By

Return to page top