Home> マニアックレジン > これで行けるか? レジン治療

これで行けるか? レジン治療

最近、根管治療のネタばかりでしたがレジン治療も毎日のように行っております。

今回は久しぶりにレジンネタを 

 

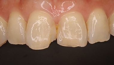
昔から来院して頂いている患者さん

以前虫歯の治療を行ったのですが、残した自分の歯(エナメル質)の先端がかけてきてしまいました。

2025 EEdental KTI (1).jpg 

詰めたレジンは外れていません。

  

4級レジン充填という形でレジンを何度か詰めたのですが、毎回半年しないうちに取れてしまう・・・

今回に関しては12月の頭に詰めたのですが、1週間で外れてしまう。

 

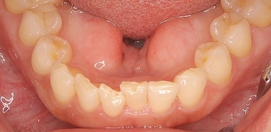
患者さんは普段からここで咬まないように細心の注意をはらってくれているのですが、原因は夜間の歯ぎしりと推測されます。

2025 EEdental KTI (4).jpg

咬み合う歯も擦れてかけており、以前この部分を少し咬合調整させてもらい当たりは弱くしているのですが・・・

 

たぶん、またレジン詰めても取れるだろうな・・・

と推測し、患者さんに虫歯は無いけど前に詰めたレジン一度外させてもらい、もう1回詰めさせてくださいと説明

 

理由は以前接着歯学会に参加した時に、演者の先生が

レジン+レジンはどんな接着処理をしてもくっ付かない、歯質+レジンの方が接着力が大きいと聞いたことがあったので、今回はその言葉にかけてみようと

私は接着マニアではないので、メーカーの指示通りのことしかしていませんが、シラン処理の限界だろうなと推測

 

麻酔をして一度レジンだけを除去

2025 EEdental KTI (2).jpg 

ここからレジンで立ち上げます。

 

30分後

2025 EEdental KTI (3).jpg

ウエッジで歯肉を押していたので歯と歯の間の歯肉は下がっていますが、

2~3日で元通りに回復します。

  

昔の勤務医の頃は一度レジンで外れたら、じゃあ被せましょう!と言い

前装冠orセラミッククラウンを製作していましたが、

今の私の考えは削れば削るほど歯の寿命は短くなっていると考えているので

なるべく必要最小限の処置で済ませたいと思っています。

 

これで外れたら、いよいよべニア修復かなと患者さんに説明させて頂きました。 

 

 

歯の治療 

治しても咬む力に耐えられるか!?でも詰め物の寿命は大きく変わってきます。。。

Index of all entries

Home> マニアックレジン > これで行けるか? レジン治療

購読
Powerd By

Return to page top